Iby’ingenzi wamenya ku mashini ya PET Scan yifashisha imbaraga za nucléaire mu gupima, imashini itegerejwe vuba aha mu Rwanda
PET Scan (Positron Emission Tomography – TEP) ni uburyo bugezweho bwo gusuzuma imikorere (functional imaging) y’umubiri hifashishijwe ikinyabutabire gifite radioactivité (radiotracer). Bitandukanye na MRI ndetse na CT sCAN byibanda ku imitere (structural imaging), PET yo Scan ireba uko utunyangingo dukora, bityo ikagaragaza ahari ibibazo mu mikorere y’urugingo (anomalies métaboliques) mu ndwara nka kanseri, infections cyangwa inflammations.
Ni imashini y’ikoranabuhanga rihambaye bikaba biteganyijwe ko bitarenze uyu mwaka iyi mashini izaba yegejejwe mu Rwanda. Ibi akaba ari ibyemejwe Minisitiri w’Ubuzima Dr. Sabin Nsanzimana mu nama y’Umushyikirano iheruka. Iyi akaba ari intambwe ikomeye izafasha gukemura ikibazo cy’Abanyarwanda benshi bakeneraga kujya kwipimisha mu bihugu byo hanze kubera kubura ubu buryo bugezweho bwo gusuzuma indwara zikomeye nka kanseri, iz’umutima n’iz’ubwonko.


1.. Radioactivité
Radioactivité ni imiterere yihariye ibinyabutabire bimwe bigira aho noyau atomique zabyo zidahama hamwe (instable) ahubwi zigahora zishaka uko zahama hamwe (stable). Ibyo zibigeraho zirekura ingufu (énergie) mu buryo bw’imirasire yitwa rayonnements ionisants (alpha, bêta cyangwa gamma).
Mu buvuzi, iyi miterere ikoreshwa mu buryo bwihariye nko mu PET Scan aho hifashishwa ibinyabutabire bifite radioactivité, nk’isukari ya FDG (fluorodeoxyglucose) maze hakagaragazwa urugingo rufite ikibazo. FDG ni isukari, kandi isukari ni yo itanga ingufu mu mubiri. FDG ikomeza gufatwa aho yinjiye, hanyuma igakora désintégration radioactive , igasandara (radioactive decay) maze ikarekura imirasire, rayonnements twavuze haruguru. PET Scan ikurikirana izi rayonnements zatanzwe, ikamenya neza aho radiotracer yirunze ari naho haba hafite ibibazo.
Aha ni ho bigaragara neza ko PET Scan ikoresha imbaraga za nucléaire mu gupima.



2. Uko ikorwa (Mécanisme)
Iyo umurwayi agiye gukora PET Scan, ibikorwa bikurikirana mu byiciro bikurikira:
– Gutanga radiotracer (Injection of radiotracer): Umurwayi abanza guhabwa FDG (fluorodeoxyglucose), isukari ifite radioactivité.
– Kwinjira mu mubiri (Distribution in the body): FDG ijya hose mu mubiri, ariko ikirunda cyane ahari hyperactivité, ahafite ibibazo ( urugero ikibyimba cya kanseri).
– Gufatwa mu tunyangingo (Cell uptake): FDG ikomeza gufatwa aho yinjiye, ntibashe gusohoka nk’uko bigenda kuri glucose isanzwe umubiri uhita uhinduramo ikindi kinyabutabire.
– Gusandara (Radioactive decay / Désintégration radioactive): FDG igenda isandara, ikarekura imirasire, rayonnements ionisants.
– Gukurikirana imirasire (Detection of radiation): PET Scan ikurikirana izi rayonnements, kugeza ibonye aho ituruka.
– Kugaragaza ishusho (Image reconstruction): Ibi bituma imashini igaragaza neza ahari ibibazo mu mikorere y’urugingo (anomalies métaboliques).


3. PET Scan ikoreshwa he ?
PET Scan ikoreshwa cyane mu buvuzi bwo gusuzuma indwara zikomeye, aho ikora functional imaging igaragaza imikorere y’utunyangingo. Aho ikoreshwa ni:
– Kanseri (Cancer diagnosis and follow-up): PET Scan ifasha kumenya aho kanseri iri, ikerekana niba yagiye ahandi (metastases), ndetse ikagaragaza uko umurwayi asubiza ku miti cyangwa radiothérapie.

– Indwara z’umutima (Cardiology): ikoreshwa mu gusuzuma uko umutima ukora, kumenya niba hari ibice by’umutima bidafite amaraso ahagije cyangwa byapfuye (ischemia, infarctus).

– Indwara z’ubwonko (Neurology): ikoreshwa mu gusuzuma indwara nka Alzheimer, Parkinson, epilepsy, ndetse no kumenya uko ubwonko bukora mu gihe hari ibibazo by’imitekerereze cyangwa indwara z’uburwayi bwo mu mutwe.

– Ubushakashatsi (Research): ikoreshwa mu kumenya uko imiti mishya ikora mu mubiri, cyangwa mu bushakashatsi ku mikorere y’ubwonko n’umutima.

4. Inzitizi mu ikoreshwa rya PET Scan
– Igiciro gihanitse
PET Scan ni imashini ihenze cyane mu kuyigura, mu kuyishyiraho (installation), no mu kuyitaho (maintenance).
– Kugura imashini: hagati ya miliyoni 1.2 kugeza kuri miliyoni 4.5 z’amadolari (hafi miliyari 1.5 – miliyari 5.5 Frw).
– Installation: hagati ya ibihumbi 150 kugeza ku bihumbi 800 by’amadolari (hafi miliyoni 190 – miliyoni 1,000 Frw).
– Maintenance: hagati ya ibihumbi 120 kugeza ku bihumbi 420 by’amadolari ku mwaka (hafi miliyoni 150 – miliyoni 530 Frw).
– Ibikoresho by’inyongera bikenewe: PET Scan ikenera cyclotron cyangwa ibindi bikora radiotracers. Ibi nabyo birahenze kandi bisaba ikoranabuhanga rikomeye.
– Abahanga b’inzobere: Bisaba abaganga n’abatekinisiye bafite ubumenyi mu médecine nucléaire, bikaba bigoye kubabona mu bihugu byinshi.
– Infrastructure yihariye: Ikenera inyubako zifite shielding (uburinzi bw’imirasire), uburyo bwo kubika no gutwara radiotracers, ndetse n’amashanyarazi akomeye.
Muri make mu bihugu bikize PET Scan iboneka henshi, ariko mu bihugu bidafite ubuvuzi buteye imbere, iyi mashini iracyaboneka hake cyane ahandi naho ntihaboneka.
– Radioactivité (imbaraga za nucléaire)
PET Scan ikoresha ibinyabutabire bifite radioactivité. Nubwo ikoreshwa mu buryo butekanye, imirasire ishobora kugira ingaruka ku mubiri:
– Kongera ibyago byo kugira kanseri kubera mutations mu uturemangingo.
– Gutera indwara zifata ADN (genetic disorders).
– Kwangiza uturemangingo bikaba byatera fibrosis, inflammation, cyangwa kudakora neza kw’urugingo (organ dysfunction).
– Igihe n’imyiteguro yihariye
PET Scan isaba igihe kinini mu kwitegura no mu gupima:
– Umurwayi agomba kwirinda kurya isukari mbere y’isuzuma, kuko FDG ari isukari radioactive, kandi kurya isukari byatuma ibisubizo bitagaragara neza.
– Gusuzuma ubwabwo bifata igihe kinini ugereranyije n’izindi mashini nka CT cyangwa MRI, kuko bisaba gutegereza ko radiotracer ikwirakwira mu mubiri mbere yo gufatwa.
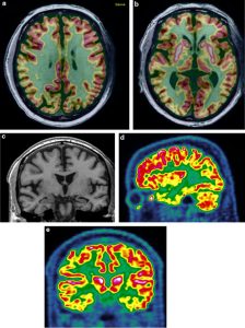
5.Ihuzwa rya PET Scan na MRI cyangwa CT Scan
PET Scan ikora functional imaging (igaragaza imikorere y’uturemangingo), mu gihe MRI na CT Scan zikora structural imaging (zerekana imiterere y’urugingo). Iyo bihujwe, bitanga ishusho yuzuye y’ubuzima bw’umurwayi.
– PET/CT Scan (couplage): PET Scan ihuzwa na CT Scan mu mashini imwe. CT itanga ishusho y’imiterere y’urugingo, naho PET ikerekana imikorere y’uturemangingo. Couplage ya PET/CT ni yo ikoreshwa cyane ku isi, cyane mu gusuzuma kanseri, kuko igaragaza icyarimwe aho ikibyimba kiri n’uko gikora.


– PET/MRI (couplage): Ni ikoranabuhanga rishya rihuza PET na MRI mu mashini imwe. MRI itanga ishusho y’imitere y’uruhu, imitsi n’ubwonko, naho PET ikerekana uko bikora. Ibi bifasha cyane mu gusuzuma indwara z’ubwonko n’iz’umutima.


– Séparément: PET Scan ishobora no gukorwa yonyine, hanyuma ibisubizo bikavangwa n’ibyo CT cyangwa MRI byakozwe mu buryo butandukanye. Ariko ibi bisaba guhuza amakuru mu buryo bwa software, kandi ntibiba byuzuye nk’iyo mashini zombi zikoranye mu couplage.





Twifashishije: www.elsan.care
na www.ramsaysante.fr
Umwanditsi: Musengimana Emmanuel
